
World Pneumonia Day
World Pneumonia Day आज वर्ल्ड निमोनिया डे (World Pneumonia Day) है. निमोनिया की बीमारी के बारे में जागरूकता बढ़ाने के लिए हर साल 12 नवंबर को विश्व निमोनिया दिवस मनाया जाता है. दुनिया भर में पांच साल से कम उम्र के बच्चों की मौत का सबसे बड़ा कारण अभी भी निमोनिया है और भारत इस बोझ का सबसे बड़ा हिस्सा झेल रहा है.
द लैंसेट की 2010 की रिपोर्ट के अनुसार, देश में इस उम्र वर्ग में होने वाली कुल मौतों में से 14% से 26% मौतें निमोनिया की वजह से होती हैं. एक अन्य अध्ययन में बताया गया है कि 14.9% से 18% बच्चों की जान भारत में इसी बीमारी से जाती है.
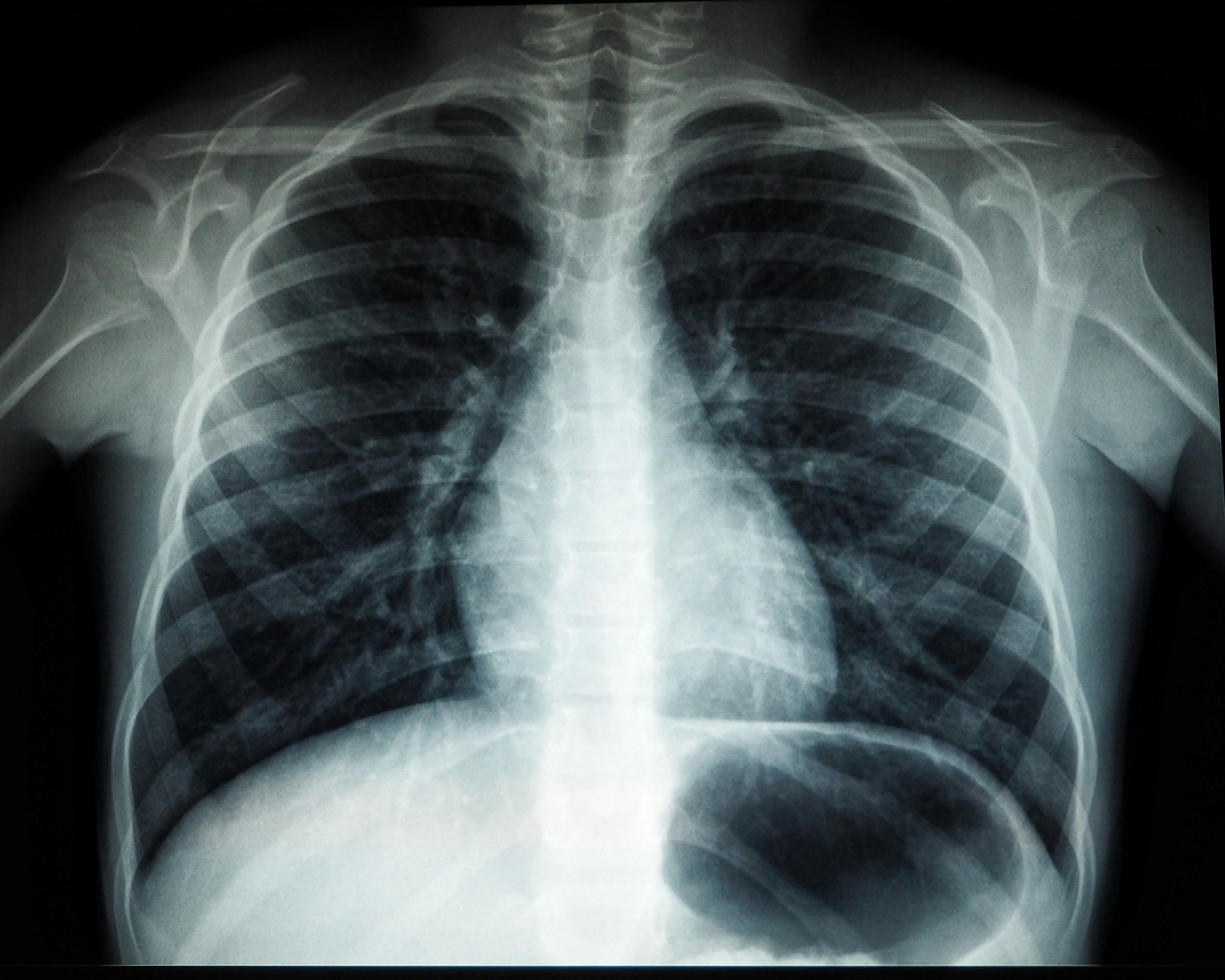
निमोनिया असल में फेफड़ों में सूजन की बीमारी है, जो बैक्टीरिया, वायरस या फंगल संक्रमण से होती है. यह रोग खासतौर पर छोटे बच्चों, बीमार लोगों और बुजुर्गों के लिए खतरनाक होता है, क्योंकि उनका शरीर संक्रमण से लड़ने में कमजोर होता है.
विशेषज्ञों का कहना है कि इससे बचाव ही सबसे बड़ा उपाय है. समय पर टीकाकरण, साफ-सफाई का ध्यान, पौष्टिक आहार, और धुएं या प्रदूषित हवा से दूरी रखकर इस खतरे को कम किया जा सकता है.
निमोनिया को लेकर GNTTV ने फोर्टिस अस्पताल के डायरेक्टर और Paediatrics यूनिट हेड डॉ. विवेक जैन से बातचीत की और इस बीमारी के कारण, इलाज और बचाव के तरीके जानने की कोशिश की.
निमोनिया क्या है?
निमोनिया फेफड़ों में होने वाला एक गंभीर संक्रमण है, जो लंग्स की हवा भरी थैलियों में सूजन पैदा कर देता है. इस सूजन के चलते इन थैलियों में पस या तरल पदार्थ भरने लगता है, जिससे खांसी, तेज बुखार, ठंड लगना और सांस लेने में परेशानी जैसी दिक्कतें होती हैं. अगर समय पर इलाज न किया जाए, तो यह संक्रमण फेफड़ों से आगे बढ़कर शरीर के अन्य हिस्सों को भी प्रभावित कर सकता है और जानलेवा रूप ले सकता है.

निमोनिया के लक्षण क्या हैं?
निमोनिया की शुरुआत आमतौर पर खांसी और बलगम से होती है, जिसके बाद बुखार, ठंड लगना, सीने में दर्द और सांस फूलना जैसे लक्षण दिखाई देते हैं. मरीजों को थकान और बदन दर्द भी महसूस हो सकता है. कुछ मामलों में उल्टी, दस्त या भ्रम जैसे लक्षण भी दिखते हैं, खासकर बुजुर्गों में. लक्षणों की गंभीरता व्यक्ति की उम्र, सेहत और इम्यून सिस्टम पर निर्भर करती है.
निमोनिया को कैसे रोका जा सकता है?
डॉ. विवेक जैन के मुताबिक, निमोनिया से बचाव के लिए टीकाकरण सबसे प्रभावी तरीका है. खासतौर पर प्न्युमोकोकल और इन्फ्लुएंजा वैक्सीन शरीर को इस संक्रमण से लड़ने की ताकत देती हैं. इसके साथ ही हाथों की सफाई पर ध्यान देना, धूम्रपान से दूरी बनाना, पौष्टिक आहार लेना और पुरानी बीमारियों को कंट्रोल में रखना बेहद जरूरी है. संक्रमित लोगों के संपर्क से बचना और बच्चों व बुजुर्गों को समय पर वैक्सीन लगवाना निमोनिया से सुरक्षा के सबसे कारगर उपायों में शामिल है.
निमोनिया का सबसे ज्यादा रिस्क किसे है?
65 साल से ज्यादा उम्र के बुजुर्ग, 2 साल से छोटे बच्चे और डायबिटीज, अस्थमा या दिल की बीमारी से पीड़ित लोग निमोनिया के ज्यादा खतरे में रहते हैं. इसके अलावा कमजोर इम्युनिटी वाले, कैंसर के लिए कीमोथैरेपी ले रहे मरीज और धूम्रपान करने वाले लोगों में भी संक्रमण तेजी से बढ़ सकता है. ऐसे मरीजों में गंभीर निमोनिया और जटिलताएं होने की संभावना ज्यादा रहती है.

निमोनिया से ठीक होने में कितना समय लगता है?
डॉ. विवेक जैन के मुताबिक, निमोनिया से रिकवरी मरीज की उम्र, सेहत और संक्रमण की गंभीरता पर निर्भर करती है. हल्के मामलों में मरीज एक हफ्ते में बेहतर महसूस करने लगते हैं, जबकि आमतौर पर 2 से 3 हफ्तों में पूरी तरह ठीक हो जाते हैं. हालांकि गंभीर मामलों में ठीक होने में 1 से 6 महीने तक का समय लग सकता है. कई बार खांसी और थकान जैसे लक्षण मुख्य बीमारी ठीक होने के बाद भी कई हफ्तों तक बने रहते हैं.
अगर निमोनिया का इलाज न किया जाए तो क्या हो सकता है?
अगर निमोनिया का समय पर इलाज नहीं किया जाए, तो यह कई जानलेवा जटिलताओं का कारण बन सकता है. अनट्रीटेड निमोनिया से सांस लेने में परेशानी (Respiratory Failure), सेप्सिस (Sepsis), फेफड़ों में पस बनना (Lung Abscess), प्लूरल इफ्यूजन (Pleural Effusion) और एक्यूट रेस्पिरेटरी डिस्ट्रेस सिंड्रोम (ARDS) जैसी गंभीर स्थितियां हो सकती हैं. यह संक्रमण लंबे समय तक फेफड़ों को नुकसान पहुंचा सकता है और मौत का खतरा भी बढ़ा देता है. इसलिए निमोनिया के लक्षण दिखते ही तुरंत डॉक्टर से संपर्क करना जरूरी है.